
Heit neurointerventional research lab
Stanford University
Our vision
Our research seeks to advance our understanding of cerebrovascular disease and to develop new minimally invasive treatments for these diseases. We study ischemic and hemorrhagic stroke, cerebral aneurysms, delayed cerebral ischemia, cerebral arteriovenous malformations (AVMs), dural arteriovenous fistulae, and other vascular diseases of the brain. We use state-of-the-art neuroimaging techniques to non-invasively study these diseases, and we are developing future endovascular technologies to advance neurointerventional surgery.

Basic and Translational Science Research
From bench top...
Our basic and translational scientific team is working to advance our understanding of cerebrovascular development and patterning, the genetic basis of cerebrovascular malformation and aneurysm pathogenesis, and cellular adaption to cerebral ischemia. Our current knowledge about cerebrovascular development in humans is meager and limits our ability to develop new, molecularly targeted treatments for ischemic and hemorrhagic strokes. New knowledge about cerebrovascular development could generate new, molecularly targeted treatments for ischemic and hemorrhagic strokes and transform clinical paradigms for these diseases.

Clinical Research
...to bedside.
Our clinical research team seeks to advance our understanding of ischemic and hemorrhagic stroke pathophysiology and improve the non-invasive imaging evaluation and endovascular treatment of these diseases. In addition, we are working to identify circulating biomarkers of acute and subacute cerebral ischemia to identify patients at risk of stroke before it happens.
The team
Our team comes from a variety of different backgrounds and has a wide range of expertise.

Jeremy J. Heit, MD, PhD
Principal Investigator
Dr. Heit is an Associate Professor of Radiology and, by courtesy, of Neurosurgery at Stanford University. He is the Chief of Neuroimaging and Neurointervention (interim) at Stanford University, the Director of Neuroradiology at the Stanford Stroke Center, and the Director of the Stanford Neurointerventional Surgery Fellowship at Stanford.
His interest in research was piqued as an undergraduate student at the University of Colorado at Boulder, where he was a member of Tom Cech's lab. He completed his MD and PhD degrees at Stanford University, an internal medicine internship at the Brigham and Women's Hospital, a radiology residency at Massachusetts General Hospital, and a neurointerventional radiology fellowship at Stanford. He has been an attending neurointerventional surgeon and physician scientist at Stanford since 2015.

Aroosa Zamarud, MD
Postdoctoral Scholar
Dr. Zamarud completed her undergraduate education at Bannu Medical College, Khyber Medical University, Pakistan. She then worked serving underprivileged communities in remote vilages of northern Pakistan.
In March 2022, Dr. Zamarud joined Stanford Neurosurgery department as a Visiting Instructor with Dr. Steve Chang's research group. She studied neuro-oncology, with a special emphasis on exploring the potential of Cyberknife stereotactic radiosurgery for various brain pathologies.
Dr. Zamarud was then recruited to the Heit Lab, where she is currently a postdoctoral fellow. She is studying venous outflow in patients with acute ischemic stroke and hemorrhagic stroke.

Henk van Voorst, MD, PhD
Postdoctoral Scholar
Dr. van Voorst received a BSc and MSc in Medicine from the Vrije Universiteit Amsterdam, an MSc in Information Studies: Track Data Science from the Universiteit van Amsterdam, and an MSc in Banking and Finance from the Universiteit Utrecht. He then obtained a PhD at the Amsterdam UMC, Universiteit van Amsterdam.
In his PhD studies, Dr. van Voorst focused on cost-effectiveness analyses and artificial intelligence in acute ischemic stroke imaging. In the Collaborations for New Treatments of Acute Stroke (CONTRAST) consortium, Dr. van Voorst was responsible for imaging data management and automated image analysis for several randomized clinical trials. In the Cost Effectiveness of CT Perfusion for Patients suffering from Acute Ischemic Stroke (CLEOPATRA) project, Dr. van Voorst was responsible for the model-based cost-effectiveness analyses.
Dr. van Voorst joined the Heit lab in September 2023. He received a Rubicon grant from the Dutch Scientific Council (NWO) for 24 months of postdoctoral training. Dr. van Voorst studies to possibilities of artificial intelligence-based artery and vein analyses in acute ischemic stroke imaging.

Jamie Kesten, BS
Research Assistant
Jamie Kesten is a research assistant in the Heit Lab. She was born at Stanford Hospital and grew up in the area. She completed her undergraduate studies at Vassar College, where she majored in Neuroscience and French. At Vassar, she played on the volleyball team, served as a tour guide, and interned in the Department of Philosophy. After graduation, Jamie joined the Heit Lab, where her research is focused on the imaging and treatment of patients with acute ischemic stroke, neuroinflammation, artificial intelligence, and spine procedures. She is an aspiring physician, and she hopes to treat pediatric patients in the future.

Gautam Adusumilli, MD
Research Associate
Dr. Adusumilli is Research Associate in the Heit Lab and a PGY-1 Surgery resident at Stanford. He discovered Neurointerventional Surgery while completing his BA and MD degrees at Washington University in St. Louis. His research in the Heit Lab focuses on novel measures of collateral blood flow in ischemic stroke patients, such as venous outflow. His long-term aspiration is to translate endovascular techniques to low-resource environments. Dr. Adusumilli will enter a Radiology Residency at Massachusetts General Hospital in 2022, and he will continue to collaborate with Dr. Heit after he moves to Boston.

Anna Maria Bombardieri, MD, PhD
Faculty Research Collaborator
Dr. Bombardieri is and Assistant Professor in the Department of Anesthesiology at Stanford and a faculty research collaborator in the Heit Lab. She earned her medical degree from the University of Rome, La Sapienza, and completed her residency training and PhD at the University of Florence. Subsequently, she pursued fellowships in Regional Anesthesia and Acute Pain Medicine at the Hospital for Special Surgery in New York, followed by a Critical Care Medicine fellowship at the Free University of Brussels.
In the Heit Lab, her research centers on developing a neuroimaging perfusion score to detect of cerebral vasospasm and exploring minimally invasive techniques to treat patients suffering from vasospasm following aneurysmal subarachnoid hemorrhage.
Her ultimate goal is to utilize minimally invasive regional anesthetic techniques to enhance neurological outcomes in stroke patients.

Simon Levinson, MD
Resident, Neurosurgery
Simon is a PGY - III neurosurgery resident at Stanford and a research associate in the Heit lab. He is training to become a dual trained open and endovascular neurosurgeon and will be a neurointerventional fellow at Stanford after completion of his surgical training. He completed his undergraduate studies at UCLA in Los Angeles where he earned a BA in political philosophy with a minor in neuroscience and remained at UCLA where he graduated from the David Geffen School of Medicine in 2021.
Simon is passionate about finding new ways to help patients recover from neurologic injury and his work in the Heit lab focuses on basic science and translational therapies for patients recovering from acute strokes. He is currently working to investigate the immunologic mechanism that could influence how patients recover after experiencing a stroke with the ultimate goal of developing neuro protective therapies that improve patient outcomes.

Adrien Guenego, MD
Faculty Research Collaborator
Dr. Guenego is a neurointerventional radiologist at Erasme Medical Center in Brussels, Belgium. He was previously a Research Fellow and Visiting Scholar at Stanford, both in the Stanford Stroke Center and in the Heit Lab. Dr. Guenego continues to work with Dr. Heit on research topics based in neurointerventional radiology.
Dr. Guenego completed his undergraduate degree at Toulouse University in France. His MD was also completed in France at Toulouse University Hospital, and Fondation Rothschild in Paris as well as at CHUV in Lausanne, Switzerland. Dr. Guenego then completed a Neurointerventional Surgery Fellowship in Brussels from 2020-2022. He now practices at the prestigious Erasme Medical Center while he completes his PhD at Brussels University that if focused on vasospasm and delayed cerebral ischemia after cerebral aneurysm rupture.
Dr. Guenego continues to study cerebrovascular disease and neurointerventional devices and techniques for the treatment of these diseases in collaboration with Dr. Heit. In addition, he has a strong interest in entrepreneurship and is working on scaling-up two health companies.
Alumni
Graduates of the Heit lab continue to do amazing things!

Eric Sussman, MD
Chief Resident in Neurosurgery, Stanford University
Dr. Sussman is a neurosurgeon with Hartford Healthcare. He was a prior Neurosurgery Resident, Neurointerventional Surgery Fellow at Stanford and a Research Associate in the Heit Lab. Dr. Sussman completed his undergraduate degree at Duke University and his MD at the Icahn School of Medicine at Mount Sinai in New York. Dr. Sussman's research in the Heit lab focused on the identification of factors that predict clinical outcomes following ischemic and hemorrhagic stroke as well as neurovascular proteomics and metabolomics.

Tobias Faizy, MD
Clinical Assistant Professor, University Medical Center, Hamburg-Eppendorf
Dr. Faizy is an Assistant Professor of Neuroradiology at UKE in Hamburg, Germany. During his postdoctoral studies in the Heit Lab, Dr. Faizy worked to understand better how collateral blood flow maintains brain tissue viability during ischemic stroke. His innovative contributions led to publications in Stroke, Radiology, the Journal of Cerebral Blood Flow and Metabolism, and other prestigious journals. Dr. Faizy continues to collaborate with Dr. Heit from "across the pond."

Reza Kabiri, BS
MD/PhD Student, University Medical Center, Hamburg-Eppendorf
Mr. Kabiri is a MD PhD student in Hamburg, Germany, and he was a research associate at Stanford University during his time in the Heit Lab. His research interests include stroke imaging, artificial intelligence, and advance imaging of cerebral ischemia.

Matt Leipzig, BS
Research Associate
Mr. Leipzig is currently working as an artificial intelligence consultant. During his time as a research associate in the Heit Lab, he worked to develop statistical models that can improve both prediction and inference related to stroke. He also performed machine learning analyses to advance our understanding of ischemic and hemorrhage stroke.

David Marcellus, BS
Clinical Research Coordinator
Mr. Marcellus is a Clinical Research Coordinator at Stanford University and a Heit Lab alumni. He graduated from Cal Poly San Luis Obispo and joined Heit Lab as a Research Associate. After one year in the Heit Lab, he transitioned to a Clinical Research Coordinator, where he currently works. He continues to collaborate with Dr. Heit and serves as the clinical research efforts of the Heit Lab and the Stanford Neurointerventional Radiology service.

Shruti Arora, BS
Life Science Research Professional
Ms. Arora is a MD/PhD student at the University of California at Davis. She was previously a LSRP in the Heit Lab, and her research with Dr. Heit focused on murine models of acute ischemic stroke. She also performed cutting edge brain microscopy imaging using CLARITY to study developmental cerebral vasculature patterning and vascular changes during ischemic stroke.

Dylan Wolman, MD
Neurointerventional Surgery Fellow and Research Associate
Dr. Wolman is a neurointerventional radiologist at Kaiser in Portland. He was previously a Radiology Resident and Neurointerventional Fellow at Stanford and a Research Associate in the Heit Lab. Dr. Wolman completed his undergraduate degree at Brandeis University and his MD at Tufts University School of Medicine. Dr. Wolman will begin his Neurointerventional Surgery Fellowship at Stanford in 2020 after completion of his radiology residency. Dr. Wolman's research focuses on novel imaging techniques, such as dual energy CT and perfusion imaging, for the evaluation of acute ischemic stroke.

Gabriella Kuraitis, BS
Research Assistant
Ms. Kuraitis is a prior research assistant in the Heit Lab. She completed her undergraduate degree in the biological sciences with an emphasis on neuroscience at the University of Oregon. She has had prior research experience at Stanford University and University of California, San Diego, which included a study to determine if artificial intelligence could be used to screen patients with retinal diseases. Her research interests in the Heit Lab are focused on stroke imaging and predicting clinical outcomes of ischemic and hemorrhagic strokes.

Sophie Ostmeier, MD
Postdoctoral Student
Dr. Ostemeier is a post doc in Dr. Greg Zaharchuk's lab at Stanford and a pior post doct in the Heit Lab. She completed her MD at the Technical University of Munich. Before being recruited to Dr. Heit's lab at Stanford, she studied dual energy CT applications in radiology. Her research interests focus on developing artificial intelligence techniques for the evaluation of cerebral ischemia and hemorrhagic stroke. She is an avid runner and cyclist, and she enjoys climbing the hills overlooking the Stanford campus and Bay Area in her free time.

Sarah Snyder, BA
Research Associate
Sarah Snyder is currently a clinical research assistant in the Department of Neurosurgery at Massachusetts General Hospital and a pior research associate in the Heit Lab. She completed her BA at the Duke University. Sarah is an accomplished swimmer, and she was Captain of the Duke Swim Team and an Olympic Trials qualifier. In the Heit Lab, Sarah studied cerebral aneurysms and the morphologic assessment of aneurysms using artificial intelligence platforms. She is an aspiring medical student, and she is currently applying to medical school.
News and press
Read more...Congratulations to Dylan Wolman, MD for winning the Adult Brain Outstanding Presentation Award at...April 22, 2020Read more...Congratulations to Dr. Faizy for being awarded the 2020 German Research Foundation Grant to...Read more...Congratulations to Dr. Sussman for being awarded the competitive Joe Niekro Foundation Research...Read more...Congratulations to Dr. Wolman for being awarded the prestigious RSNA Research Resident Grant for...April 25, 2019Read more...Congratulations to Dr. Faizy for being awarded the 2019 German Research Foundation Grant to...Publications
Selected publications from the Heit Lab

Comprehensive List of Dr. Heit's Publications
Pubmed Bibliography

Perfusion Imaging Predicts Favorable Outcomes After Basilar Artery Thrombectomy
Cereda C, et al. (2021) Annals Neurology Nov 17. doi: 10.1002/ana.26272

Distinct intra-arterial clot localization affects tissue-level collaterals and venous outflow profiles
Faizy TD, et al. (2021) European Journal of Neurology. Dec;28(12):4109-4116. doi: 10.1111/ene.15079. Epub 2021 Aug 30.

Reperfusion Therapies for Children With Arterial Ischemic Stroke
Heit JJ, et al. (2021) Topics in MRI. Oct 1;30(5):231-243.
doi: 10.1097/RMR.0000000000000273.

VINE Catheter for Endovascular Surgery
Li M, et al. (2021) IEE Transactions on Medical Robotics and Bionics 3: 384-391

MR perfusion imaging: Half-dose gadolinium is half the quality
Heit JJ, et al. (2021) J Neuroimaging May 18. doi: 10.1111/jon.12879.

Assistance from Automated ASPECTS Software Improves Reader Performance
Delio PR, et al. (2021) J Stroke Cerebrovascular Dis May 10;30(7):105829.
doi: 10.1016/j.jstrokecerebrovasdis.2021.105829.

Association of Venous Outflow Profiles and Successful Reperfusion After Thrombectomy
Faizy TD, et al. (2021) Neurology May 5;10.1212/WNL.0000000000012106.
doi: 10.1212/WNL.0000000000012106

Computed Tomography-Based Imaging Algorithms for Patient Selection in Acute Ischemic Stroke
Pulli B, Heit JJ, and Wintermark M (2021) Neuroimaging Clin N Amer May;31(2):235-250. doi: 10.1016/j.nic.2020.12.002.Epub 2021 Mar 23.

Venous Outflow Profiles Are Linked to Cerebral Edema Formation at Noncontrast Head CT after Treatment in Acute Ischemic Stroke Regardless of Collateral Vessel Status at CT Angiography
Faizy T, et al. (2021) Radiology Apr 6;203651. doi: 10.1148/radiol.2021203651. Online ahead of print.

Non-contrast dual-energy CT virtual ischemia maps accurately estimate ischemic core size in large-vessel occlusive stroke
Wolman DN, et al. (2021) Scientific Reports Mar 24;11(1):6745. doi: 10.1038/s41598-021-85143-3.

Favorable Venous Outflow Profiles Correlate With Favorable Tissue-Level Collaterals and Clinical Outcome
Faizy T, et al. (2021) Stroke Mar 8;STROKEAHA120032242.
doi: 10.1161/STROKEAHA.120.032242.Online ahead of print.

Perfusion imaging-based tissue-level collaterals predict ischemic lesion net water uptake in patients with acute ischemic stroke and large vessel occlusion
Faizy T, et al. (2021) JCBFM Feb 8;271678X21992200. doi: 10.1177/0271678X21992200.

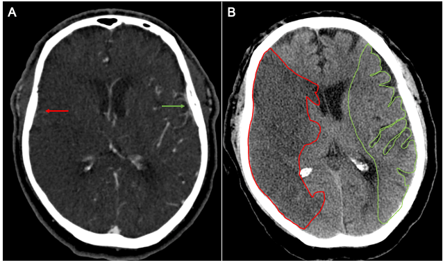
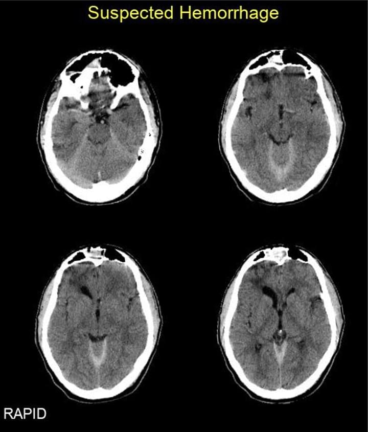
Automated Cerebral Hemorrhage Detection Using RAPID
Heit JJ, et al. (2021) AJNR Jan;42(2):273-278. doi: 10.3174/ajnr.A6926. Epub 2020 Dec 24.

High-Performance Automated Anterior Circulation CT Angiographic Clot Detection in Acute Stroke: A Multireader Comparison
Dehkharghani S, et al. (2021) Radiology Mar;298(3):665-670. doi: 10.1148/radiol.2021202734. Epub 2021 Jan 12.

CT perfusion core and ASPECT score prediction of outcomes in DEFUSE 3
Kim-Tenser M, et al. (2020) Int J Stroke Mar 31;1747493020915141. doi: 10.1177/1747493020915141.
https://pubmed.ncbi.nlm.nih.gov/32233746/https://pubmed.ncbi.nlm.nih.gov/32233746/

Effect of Oxygen Extraction (Brush-Sign) on Baseline Core Infarct Depends on Collaterals (HIR)
Guenego A, et al. (2021) Front Neurol Jan 6;11:618765. doi: 10.3389/fneur.2020.618765. eCollection 2020.

Thrombectomy for acute ischemic stroke in nonagenarians compared with octogenarians.
Sussman ES, Martin B, Mlynash M, Marks MP, Marcellus D, Albers G, Lansberg M, Dodd R, Do HM, Heit JJ. (2020) Thrombectomy for Acute Ischemic Stroke in Nonagenarians Compared to Octogenarians. JNIS 12:266-270.

Endovascular versus medical therapy for large-vessel anterior occlusive stroke presenting with mild symptoms.
Wolman DN, et al. (2019) Int J Stroke. doi: 10.1177/1747493019873510

Rapid Neurologic Improvement Predicts Favorable Outcome 90 Days After Thrombectomy in the DEFUSE 3 Study
Heit JJ, et al. (2019) Stroke. May;50(5):1172-1177. doi: 10.1161/STROKEAHA.119.024928

Collateral blood flow measurement with intravoxel incoherent motion perfusion imaging in hyperacute brain stroke.
Federau C, et al. (2019) Neurology. May 21;92(21):e2462-e2471. doi: 10.1212/WNL.0000000000007538

Hypoperfusion Intensity Ratio Is Correlated With Patient Eligibility for Thrombectomy.
Guenego A, et al. (2019) Stroke. Apr;50(4):917-922. doi: 10.1161/STROKEAHA.118.024134
join the heit lab team
Submit a CV and a brief description of your research interests and career goals to Jeremy Heit, MD, PhD at jheit@stanford.edu
Post Doctoral Candidates - Basic/Translational Science Research Group
We are looking for qualified post doctoral candidates to join our group. Applicants to the basic science/translational research team should have an interest in advancing our understanding of cerebrovascular developmental biology and patterning, ischemic stroke physiologic imaging and treatment in animal models, nano-therapeutic treatment of ischemic stroke or delayed cerebral ischemia after cerebral aneurysm rupture, or novel interests pertinent to the field of neurointerventional surgery. Candidates must hold a PhD or MD from an accredited institution and have excellent laboratory and analytical skills. Independence and critical thinking are highly valued skills.
Post Doctoral Candidates - Clinical Science Research Group
We are looking for qualified post doctoral candidates to join our group. Applicants to the clinical research team should have an interest in ischemic and hemorrhagic stroke pathophysiology and the non-invasive imaging evaluation and endovascular treatment of these diseases. We are particularly interested in how the brain adapts to cerebral ischemia to maintain neurologic function in the setting of severe cerebral blood flow compromise. Candidates must hold a PhD or MD from an accredited institution and have excellent analytic skills. Computational, programming, independence, and critical thinking are highly valued skills.
Research Associate - Clinical or Basic/Translational Science Research Groups
Looking to gain research experience or learn more about cerebrovascular disease and its cutting-edge treatment? We are looking for qualified research associate candidates to join our group. Applicants should have a Bachelor's degree from an accredited institution and an interest in cerebrovascular disease. Candidates with an interest in pursuing clinical medicine or research are encouraged to apply. Independence, and critical thinking are highly valued skills.
Support Our Research
A gift to the Heit Lab will support our cerebrovascular disease and neurointerventional treatment research.
If you would like to make a donation for this purpose, please contact:Erik C. Rausch
Stanford Medical Center Development
Phone: 650-725-1005
Email: erausch@stanford.edu
Online gifts can also be made here: https://medicalgiving.stanford.edu
Contact us
Jeremy J. Heit, MD, PhD - Academic Office
Department of Radiology and, by courtesy, of Neurosurgery
Center for Academic Medicine
Department of Radiology 5659-324A
453 Quarry Road
Palo Alto, CA 94304
jheit@stanford.edu
Dr. Heit's Clinic - Patient Care
Stanford Neuroscience Health Center
213 Quarry Rd
Palo Alto, CA 94304
(650) 723-6469 (Clinical Appointments)
Jeremy J. Heit, MD, PhD Stanford Faculty Profile
© 2019 by Jeremy Heit, MD, PhD










































